Lung Cancer | Pancoast
Published on Feb 16, 2021
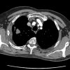
71 male First appointment 3 Month history of Right rhomboid pain. Aggravated by shoulder movements. Struggles to get to sleep and occasionally wakes up. No P+N or numbness. No dizziness, diplopia, dysarthria, dysphagia, drop attacks, nausea. Exam Slight winging right scapula. Full shoulder ROM Full shoulder strength Provisional Diagnosis [...] Read more





