Rheumatoid Arthritis
Published on May 26, 2023
37, Female Dec 2022 - developed covid Jan 2023 - widespread joint pains Reported significant joint stiffness throughout the day. Bloods Feb 2023 CRP: 17 (0 - 5). Also raised WBC: 12.4 x 10^9/L (3.7 - 11). Neutrophils: 9.3 x 10^9/L (1.7 - 7.5) Repeated 2 weeks later CRP: 5.7, ESR: 2 (3 - 12). WBC: 11.4, Neutrophil: 7.7 March 2023 (early) Ig Screen: [...] Read more
Knee - Stress Fracture
Published on Aug 3, 2022
32, Male C/o: B/L Knee pain Works as a builder and a drainage engineer Objective Knees - no swelling Full knee ROM but all movements painful NAD ligament stress tests Intact patellar glides Impression: Patellofemoral pain Review appt Ongoing pain reduced Knee ROM painful with McMurrays Impression: Meniscal problem Referred for MRI MRI showed [...] Read more
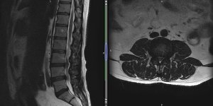
Back Pain - Metastatic Disease
Published on Aug 2, 2022
44, male C/o: 2 month history of central lower back pain. Insidious onset Worse with lying / night time. Also worse first thing in the morning. Wakes up 2-3 times per night due to pain. Social Office Job Active Life style Enjoys playing sport Ex smoker (stopped 12 years ago) Weekend drinker Past medical history of Crohn's disease No weight loss No [...] Read more
Cauda Equina Syndrome
Published on Jul 12, 2022
54 Male presented with 1 week history of low back pain B/L leg pain, worse (L). Reports left leg feels heavy. 7 days ago spoke to GP regarding right leg pain. Reported that the pain had been present for 6 days. GP prescribed codeine 15mg. 3 days later called 111. Was advised to visit A&E. A&E Visit Patient has a history of paranoid [...] Read more
Psoriatic Arthropathy
Published on May 11, 2022
Female 36 GP letter (March 2015) - presented to GP with 10 week history of painful swelling on right hand, just proximal to MCP joint of index finger on the dorsal aspect. Able to make a full fist. No history of injury. On examination soft tender swelling just lateral to right index finger MCP joint which becomes more prominent when fist is [...] Read more
Foot Pain
Published on Apr 14, 2022
78 Female Apr 2017 - an object fell on to the left foot. No pain at the time. Pain in the foot started 3-4 months later. Mar 2018 - GP requested x-ray (L) foot. NAD. Apr 2019 - seen in physiotherapy. Patient reported that pain started after something fell on her left foot. Full ROM. Tender over cuniform, cuboid and navicular. Able to stand on [...] Read more
Intestinal Tumour
Published on Apr 6, 2022
38 male History of low back pain - approx 5 years. Feb 2021 - attended GP surgery for back pain + left leg pain. Gave a 2 month history for symptoms. Jumped out of a van which made the symptoms worse. Also reported P+N in the left leg. No B+B issues. Booked for FCP appt next day. Patient DNA. July 2021 - attended A&E for GI, Abdominal pain. [...] Read more
Plasmacytoma | Cases
Published on Aug 9, 2021
Retrospective case study 66 Male 1 year history of right thigh pain Attended physiotherapy. Given exercises for tight thigh muscle. No improvement. Consulted GP 10-12 months after physiotherapy as he developed problems with sit to stand. GP requested X-ray pelvis. X-ray report as follows. GP referral for x-ray mentions – “Injury right leg two [...] Read more










